Marcom 1.5T

Producto 1 Producto 2 Producto 3

Marcom 1.5T


Marca: SternMed

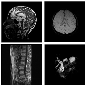
Marcom 1.5T es un escáner superconductivo de resonancia magnética de nueva generación con una intensidad de campo de 1,5 Tesla con capacidad para realizar exploraciones de todo el cuerpo, como: el sistema nervioso, la columna, los tejidos blandos de las articulaciones, la cavidad pélvica y abdominal, etc.

Descripción del Producto

Con cero evaporaciones de helio, el bajo consumo eléctrico y el bajo costo de mantenimiento la convierten en la inversión más económica.
La mayor comodidad para el paciente con alta resolución y cortes finos mejora el diagnóstico y crea un resultado excelente.
El brillante diseño del imán crea un sistema compacto para minimizar el espacio necesario a 35 metros cuadrados.
Sistema de gradiente de alta eficiencia, bobina receptora de RF PA multicanal con identificación inteligente.
La velocidad de escaneo súper rápida combinada con un funcionamiento fácil de usar mejora la eficiencia del flujo de trabajo.

Características

  • Sistema de RF completamente digital
  • Tecnología 4K de cabezal frío
  • Velocidad de reconstrucción de imágenes 1500 fps
  • Plataforma de tecnología de adquisición paralela
  • Tecnología de consumo “cero” de helio líquido
  • Máximo campo de gradiente y velocidad de respuesta, son alcanzados al mismo tiempo
  • Sistema de control de gradiente de recepción y transmisión en tiempo real totalmente digital
  • La mesa del paciente se puede controlar mediante la cubierta de la máquina en caso de emergencia